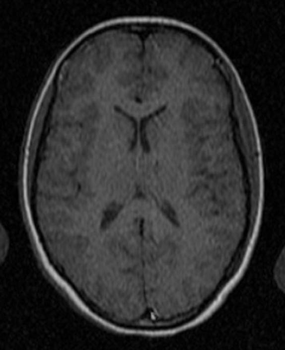
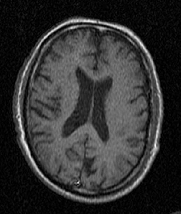
CT: Brain Atrophy
10 Years-Normal Gyri             65 Years-Enlarged Gyri
10 Years-Normal Gyri             65 Years-Enlarged Gyri
All text and images by James D. Collins, M.D.
Back to the top of the page
|